483

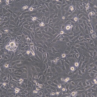
小鼠肾足细胞(MPC-5)

2025/5/16


产品介绍

该细胞来源于德国DSMZ(German collection of microorganisms and cell cultures),源于C57BL/6小鼠小胶质细胞,表达核v-myc、染色体v-raf癌基因,表面表达envgp70抗原,在形态学、表型及功能上有吞噬细胞的特征。。

小鼠肾足细胞(MPC-5)


产品信息

  细胞名称
  货号   规格   来源   形态   价格
 小鼠肾足细胞(MPC-5)   ZNCM-114
  1*106/T25   小鼠肾   上皮细胞,贴壁生长   1500元

备注:仅供科研使用。


运输和保存
干冰运输及复苏好存活细胞
(1)1mL冻存管包装干冰运输,收到后-80度冰箱保存过夜后转入液氮或直接复苏,若发现干冰已挥发干净、冻存管瓶盖脱落、破损及细胞有污染,请立即与我们联系。
(2)T25瓶复苏的存活细胞常温发货,收到后按照细胞接收后的处理方法操作。


培养基

推荐培养基配方:DMEM+10%胎牛血清+1%双抗
温度:37℃
气相:95%空气,5%二氧化碳

相关信息